DTX Studio™ Clinic est une plateforme d’imagerie dentaire 2D et 3D pilotée par l’intelligence artificielle, conçue pour centraliser l’ensemble de vos images patients et simplifier le diagnostic, la planification et la communication clinique.
Smile3D, revendeur officiel DEXIS, vous accompagne dans le déploiement, la configuration et la prise en main de DTX Studio™ Clinic.
Exclusivité : Pour toute souscription à DTX Studio™ Clinic, bénéficiez d’un accompagnement personnalisé incluant l’installation, la formation clinique et l’optimisation de vos flux d’imagerie.



Nos experts sont à votre service pour répondre à vos questions et vous conseiller au 01 89 71 80 27.
Livraison en 24h
Toute commande passée avant 13h est expédiée dans la journée
Livraison gratuite
Livraison gratuite en France Métropolitaine dès 39,90€
Assistance Premium
Nos équipes sont à votre écoute pour toutes vos questions
Tarifs Pro
Bénéficiez de tarifs professionnels avec votre compte Pro
DTX Studio™ Clinic est une plateforme d’imagerie dentaire centralisée, universelle et ouverte, conçue pour automatiser la préparation des images 2D et 3D, la planification implantaire et la communication avec vos patients. Grâce à l’IA, vous pouvez passer de l’acquisition d’images au plan de traitement complet en quelques minutes, tout en respectant la biologie et l’anatomie du patient.
Optimisée pour la rapidité et la précision, DTX Studio™ Clinic réduit drastiquement les tâches manuelles et améliore la productivité de votre clinique.
Automatisez la préparation des images 3D en quelques secondes grâce à l’intelligence artificielle :
DTX Studio™ Clinic génère automatiquement des positions implantaires initiales que vous pouvez ajuster selon vos besoins cliniques. Inspirée par la nature et conçue pour respecter la biologie, la planification implantologique est réalisable en moins de 90 secondes.
Planifiez votre cas complet, y compris la création automatique du guide chirurgical, en moins de 3 minutes. Réduisez le nombre de rendez-vous patients et gagnez un temps précieux tout en augmentant la précision chirurgicale.
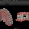
Utilisez l’IA pour identifier automatiquement les dents sur les scans intra-oraux et fusionner les données avec vos CBCT pour une planification prothétiquement guidée :
Générez des dents virtuelles en quelques secondes pour un workflow crown-down :
Alignez instantanément les scans faciaux avec vos CBCT pour une vision complète du patient, facilitant l’analyse esthétique et la communication au fauteuil.
DTX Studio™ Clinic identifie automatiquement six constats dentaires courants pour faciliter le diagnostic et la discussion avec le patient :
Segmentation automatique des arcades et structures anatomiques pour mettre en évidence les zones critiques, améliorer le diagnostic et faciliter la communication patient.
Passer au flux numérique est une décision stratégique. Avec Smile3D, bénéficiez d’un accompagnement complet :
Smile3D vous assure une transition numérique fluide, sécurisée et rentable.
Caractéristiques de DTX Studio™ Clinic
Aucune question n'a encore été posée sur ce produit.
Vous aimerez aussi